三江县人民医院:20分钟生死营救!胸痛中心刷新"心"纪录
2025年10月16日,三江县人民医院上演了一场紧张激烈的 “生死时速”救援; 一位急性下壁心肌梗死;出现心律失常(显著缓慢心率)、心源性休克的患者在胸痛中心的救治下转危为安。而这场救援的关键数据更令人瞩目:从患者进入门到闭塞血管成功开通(球囊扩张)的门球时间(D-to-B)仅用 20 分钟,不仅刷新了医院胸痛中心的门球时间历史记录,同时以实际行动诠释了 “生命至上” 的崇高原则。
“真是太感谢你们了,是你们从死神手里把我拉了回来!”10月22日,三江县人民医院胸痛中心病房里,康复出院的肖叔叔握着医护人员的手再三道谢,还特意送上了一面锦旗。就在6天前,这位突发重病的老人经历了一场惊心动魄的“生死时速”,而医院胸痛中心仅用20分钟就完成了关键救援,刷新了救治纪录,更用实力守护了生命。
![]()

病情危急:每一秒都关乎生命
关键时刻,当地卫生院的胸痛救治单元医师没有丝毫迟疑,立刻通过基层胸痛微信群,把肖叔叔的心电图和病情传给了三江县人民医院胸痛中心,为后续救援抢下了第一时间。
果断应对:开启 “绿色通道” 与 “双绕行”
我院胸痛中心团队看到信息后,一秒都没耽误,立即启动最高级别应急预案,开启“绿色通道”,同时决定执行“双绕行”方案——这可是抢时间的关键举措!简单说,就是不经过急诊、心脏监护病房等常规环节,直接把患者送进最关键的导管室(做心脏介入手术的地方),为急诊介入手术争取了宝贵时间。 从基层预警到团队集结,整个流程环环相扣,没有一丝脱节,体现了医院胸痛中心团队在面对危重症时的丰富经验和快速反应能力。
争分夺秒:20 分钟完成生死救援




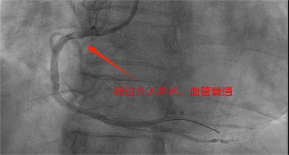
医院导管室内,早已严阵以待的介入团队迅速投入到抢救工作中。穿刺、血管造影、精准找到堵塞血管、球囊扩张…… 一系列复杂的操作,在团队成员的默契配合下紧张、有序地进行;每一个步骤都精准高效,每一秒都在与死神赛跑。最终,从患者进入医院大门到堵塞的血管被成功开通,仅仅用时 20 分钟!这一惊人的数字,远远低于国际标准的 90 分钟,不仅刷新了医院胸痛中心的速度纪录,最大程度减少心肌缺血时间。


术后,患者的生命体征很快趋于平稳,心率、血压恢复正常,安全转入 CCU(心脏监护病房)进行后续治疗,在医护人员的精心照料下,康复出院。
成果验证:彰显医者仁心,守护生命健康
此次对极高危急性下壁心肌梗死患者的成功抢救,是三江县人民医院胸痛中心建设成果的一次实战考试。面对病魔,这支团队始终选择全力以赴,用专业和责任为患者筑起一道坚固的生命防线。未来,三江县人民医院胸痛中心将以此为契机,继续优化急救流程,不断提升医疗技术水平和团队协作能力,持续守护人民群众的生命健康。
微信






桂公网安备:45020202000106号